菜单

TOR1AIP1 Antibody(UPA01609)

SizePrice
50ul598.00
100ul998.00
Contact us to order
Tel: 0550-3721098
antibody@universalbiol.com

Basic information
Catalog No.:UPA01609
Source:Rabbit
Size:50ul/100ul
Clonality:Polyclonal
Concentration:1mg/ml
Isotype:IgG
Purification:The antibody was purified by immunogen affinity chromatography.
Useful information
Applications:
WB (1:500 - 1:1000)
Reactivity:
Human, Mouse, Rat
Specificity:
Recognizes endogenous levels of TOR1AIP1 protein.
Immunogen:
KLH-conjugated synthetic peptide encompassing a sequence within the center region of human TOR1AIP1. The exact sequence is proprietary.
Description:
Rabbit polyclonal antibody to TOR1AIP1
Uniprot:
Q5JTV8
BiowMW:
Refer to Figures
Buffer:
Liquid in 0.42% Potassium phosphate, 0.87% Sodium chloride, pH 7.3, 30% glycerol, and 0.01% Thimerosal.
Storage:
Shipped at 4°C. Upon delivery aliquot and store at -20°C for one year. Avoid freeze/thaw cycles.
Note:
For research use only, not for use in diagnostic procedure.
Alternative Name:
TOR1AIP1; Torsin-1A-interacting protein 1; Lamin-associated protein 1B; LAP1B
Data:
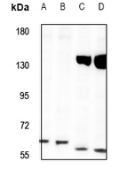
Western blot analysis of TOR1AIP1 expression in LO2 (A), HEK293T (B), AML12 (C), PC12 (D) whole cell lysates. (Predicted band size: 66 kD; Observed band size: 66 kD)
此处内容自动获取
此处内容自动获取
My Review
Ratings:

Comments: