菜单

PS1D Antibody(UPA03316)

SizePrice
50ul598.00
100ul998.00
Contact us to order
Tel: 0550-3721098
antibody@universalbiol.com

Basic information
Catalog No.:UPA03316
Source:Rabbit
Size:50ul/100ul
Clonality:Polyclonal
Concentration:1mg/ml
Isotype:IgG
Purification:The antibody was purified by immunogen affinity chromatography.
Useful information
Applications:
WB (1:500 - 1:1000), IHC (1:100 - 1:200)
Reactivity:
Human, Mouse, Rat, Monkey
Specificity:
Recognizes endogenous levels of PS1D protein.
Immunogen:
KLH-conjugated synthetic peptide encompassing a sequence within the center region of human PS1D. The exact sequence is proprietary.
Description:
Rabbit polyclonal antibody to PS1D
Uniprot:
Q9NP64
BiowMW:
Refer to Figures
Buffer:
Liquid in 0.42% Potassium phosphate, 0.87% Sodium chloride, pH 7.3, 30% glycerol, and 0.01% Thimerosal.
Storage:
Shipped at 4°C. Upon delivery aliquot and store at -20°C for one year. Avoid freeze/thaw cycles.
Note:
For research use only, not for use in diagnostic procedure.
Alternative Name:
ZCCHC17; PS1D; Nucleolar protein of 40 kDa; pNO40; Pnn-interacting nucleolar protein; Putative S1 RNA-binding domain protein; PS1D protein; Zinc finger CCHC domain-containing protein 17
Data:
Western blot analysis of PS1D expression in mouse spleen (A) whole cell lysates. (Predicted band size: 27 kD; Observed band size: 27 kD)
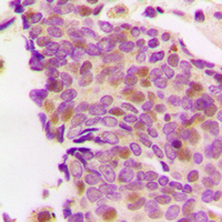
Immunohistochemical analysis of PS1D staining in human breast cancer formalin fixed paraffin embedded tissue section. The section was pre-treated using heat mediated antigen retrieval with sodium citrate buffer (pH 6.0). The section was then incubated with the antibody at room temperature and detected using an HRP conjugated compact polymer system. DAB was used as the chromogen. The section was then counterstained with haematoxylin and mounted with DPX.
此处内容自动获取
此处内容自动获取
My Review
Ratings:

Comments: