菜单

CABP7 Antibody(UPA03355)

SizePrice
50ul598.00
100ul998.00
Contact us to order
Tel: 0550-3721098
antibody@universalbiol.com

Basic information
Catalog No.:UPA03355
Source:Rabbit
Size:50ul/100ul
Clonality:Polyclonal
Concentration:1mg/ml
Isotype:IgG
Purification:The antibody was purified by immunogen affinity chromatography.
Useful information
Applications:
WB (1:500 - 1:1000), IHC (1:100 - 1:200)
Reactivity:
Human, Mouse, Rat
Specificity:
Recognizes endogenous levels of CABP7 protein.
Immunogen:
KLH-conjugated synthetic peptide encompassing a sequence within the N-term region of human CABP7. The exact sequence is proprietary.
Description:
Rabbit polyclonal antibody to CABP7
Uniprot:
Q86V35
BiowMW:
Refer to Figures
Buffer:
Liquid in 0.42% Potassium phosphate, 0.87% Sodium chloride, pH 7.3, 30% glycerol, and 0.01% Thimerosal.
Storage:
Shipped at 4°C. Upon delivery aliquot and store at -20°C for one year. Avoid freeze/thaw cycles.
Note:
For research use only, not for use in diagnostic procedure.
Alternative Name:
CABP7; CALN2; Calcium-binding protein 7; CaBP7; Calneuron II; Calneuron-2
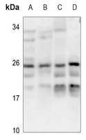
Data:
Western blot analysis of CABP7 expression in LOVO (A), HEK293T (B), mouse spleen (C), rat spleen (D) whole cell lysates. (Predicted band size: 24 kD; Observed band size: 25 kD)
Immunohistochemical analysis of CABP7 staining in human brain formalin fixed paraffin embedded tissue section. The section was pre-treated using heat mediated antigen retrieval with sodium citrate buffer (pH 6.0). The section was then incubated with the antibody at room temperature and detected using an HRP conjugated compact polymer system. DAB was used as the chromogen. The section was then counterstained with haematoxylin and mounted with DPX.
此处内容自动获取
此处内容自动获取
My Review
Ratings:

Comments: