菜单

MOB3C Antibody(UPA03980)

SizePrice
50ul598.00
100ul998.00
Contact us to order
Tel: 0550-3721098
antibody@universalbiol.com

Basic information
Catalog No.:UPA03980
Source:Rabbit
Size:50ul/100ul
Clonality:Polyclonal
Concentration:1mg/ml
Isotype:IgG
Purification:The antibody was purified by immunogen affinity chromatography.
Useful information
Applications:
WB (1:500 - 1:1000), IHC (1:100 - 1:200)
Reactivity:
Human, Mouse, Rat, Bovine
Specificity:
Recognizes endogenous levels of MOB3C protein.
Immunogen:
KLH-conjugated synthetic peptide encompassing a sequence within the center region of human MOB3C. The exact sequence is proprietary.
Description:
Rabbit polyclonal antibody to MOB3C
Uniprot:
Q70IA8
BiowMW:
Refer to Figures
Buffer:
Liquid in 0.42% Potassium phosphate, 0.87% Sodium chloride, pH 7.3, 30% glycerol, and 0.01% Thimerosal.
Storage:
Shipped at 4°C. Upon delivery aliquot and store at -20°C for one year. Avoid freeze/thaw cycles.
Note:
For research use only, not for use in diagnostic procedure.
Alternative Name:
MOB3C; MOBKL2C; MOB kinase activator 3C; Mob1 homolog 2C; Mps one binder kinase activator-like 2C
Data:
Western blot analysis of MOB3C expression in K562 (A), rat liver (B) whole cell lysates. (Predicted band size: 25 kD; Observed band size: 26 kD)
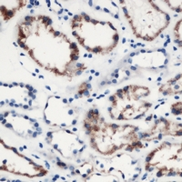
Immunohistochemical analysis of MOB3C staining in human kidney formalin fixed paraffin embedded tissue section. The section was pre-treated using heat mediated antigen retrieval with sodium citrate buffer (pH 6.0). The section was then incubated with the antibody at room temperature and detected using an HRP conjugated compact polymer system. DAB was used as the chromogen. The section was then counterstained with haematoxylin and mounted with DPX.
此处内容自动获取
此处内容自动获取
My Review
Ratings:

Comments: