菜单

VPS26B Antibody(UPA04509)

SizePrice
50ul598.00
100ul998.00
Contact us to order
Tel: 0550-3721098
antibody@universalbiol.com

Basic information
Catalog No.:UPA04509
Source:Rabbit
Size:50ul/100ul
Clonality:Polyclonal
Concentration:1mg/ml
Isotype:IgG
Purification:The antibody was purified by immunogen affinity chromatography.
Useful information
Applications:
WB (1:500 - 1:1000)
Reactivity:
Human, Mouse, Rat, Zebrafish
Specificity:
Recognizes endogenous levels of VPS26B protein.
Immunogen:
KLH-conjugated synthetic peptide encompassing a sequence within the center region of human VPS26B. The exact sequence is proprietary.
Description:
Rabbit polyclonal antibody to VPS26B
Uniprot:
Q4G0F5
BiowMW:
Refer to Figures
Buffer:
Liquid in 0.42% Potassium phosphate, 0.87% Sodium chloride, pH 7.3, 30% glycerol, and 0.01% Thimerosal.
Storage:
Shipped at 4°C. Upon delivery aliquot and store at -20°C for one year. Avoid freeze/thaw cycles.
Note:
For research use only, not for use in diagnostic procedure.
Alternative Name:
VPS26B; Vacuolar protein sorting-associated protein 26B; Vesicle protein sorting 26B
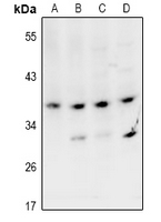
Data:
Western blot analysis of VPS26B expression in MCF7 (A), Hela (B), PC12 (C), AML12 (D) whole cell lysates. (Predicted band size: 39 kD; Observed band size: 39 kD)
此处内容自动获取
此处内容自动获取
My Review
Ratings:

Comments: