菜单

ERGIC2 Antibody(UPA06250)

SizePrice
50ul598.00
100ul998.00
Contact us to order
Tel: 0550-3721098
antibody@universalbiol.com

Basic information
Catalog No.:UPA06250
Source:Rabbit
Size:50ul/100ul
Clonality:Polyclonal
Concentration:1mg/ml
Isotype:IgG
Purification:The antibody was purified by immunogen affinity chromatography.
Useful information
Applications:
WB (1:500 - 1:2000), IHC (1:50 - 1:200)
Reactivity:
Human, Mouse
Specificity:
Recognizes endogenous levels of ERGIC2 protein.
Immunogen:
Recombinant full length protein of human ERGIC2
Description:
Rabbit polyclonal antibody to ERGIC2
Uniprot:
Q96RQ1
BiowMW:
Refer to Figures
Buffer:
Liquid in 0.42% Potassium phosphate, 0.87% Sodium chloride, pH 7.3, 30% glycerol, and 0.01% Thimerosal.
Storage:
Shipped at 4°C. Upon delivery aliquot and store at -20°C for one year. Avoid freeze/thaw cycles.
Note:
For research use only, not for use in diagnostic procedure.
Alternative Name:
ERGIC2; ERV41; PTX1; Endoplasmic reticulum-Golgi intermediate compartment protein 2
Data:
Western blot analysis of ERGIC2 expression in HepG2 (A), SKOV3 (B), mouse liver (C) whole cell lysates. (Predicted band size: 42 kD; Observed band size: 43 kD)
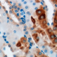
Immunohistochemical analysis of ERGIC2 staining in mouse kidney formalin fixed paraffin embedded tissue section. The section was pre-treated using heat mediated antigen retrieval with sodium citrate buffer (pH 6.0). The section was then incubated with the antibody at room temperature and detected using an HRP conjugated compact polymer system. DAB was used as the chromogen. The section was then counterstained with haematoxylin and mounted with DPX.
此处内容自动获取
此处内容自动获取
My Review
Ratings:

Comments: