菜单

53BP1 (Phospho-S6) Antibody(UPA08878)

SizePrice
50ul598.00
100ul998.00
Contact us to order
Tel: 0550-3721098
antibody@universalbiol.com

Basic information
Catalog No.:UPA08878
Source:Rabbit
Size:50ul/100ul
Clonality:Polyclonal
Concentration:1mg/ml
Isotype:IgG
Purification:The antibody was purified by immunogen affinity chromatography.
Useful information
Applications:
WB (1:500 - 1:1000), IHC (1:50 - 1:200)
Reactivity:
Human, Mouse, Rat
Specificity:
Recognizes endogenous levels of 53BP1 protein only when phosphorylated at S6.
Immunogen:
KLH-conjugated synthetic phosphopeptide corresponding to residues surrounding S6 of human 53BP1 protein. The exact sequence is proprietary.
Description:
Rabbit polyclonal antibody to 53BP1 (Phospho-S6)
Uniprot:
Q12888
BiowMW:
Refer to Figures
Buffer:
Liquid in 0.42% Potassium phosphate, 0.87% Sodium chloride, pH 7.3, 30% glycerol, and 0.01% Thimerosal.
Storage:
Shipped at 4°C. Upon delivery aliquot and store at -20°C for one year. Avoid freeze/thaw cycles.
Note:
For research use only, not for use in diagnostic procedure.
Alternative Name:
TP53BP1; Tumor suppressor p53-binding protein 1; 53BP1; p53-binding protein 1; p53BP1
Data:
Western blot analysis of 53BP1 (Phospho-S6) expression in Hela (A), U87MG (B), 3T3L1 (C), H9C2 (D) whole cell lysates. (Predicted band size: 213 kD; Observed band size: 220 kD)
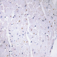
Immunohistochemical analysis of 53BP1 (Phospho-S6) staining in human heart formalin fixed paraffin embedded tissue section. The section was pre-treated using heat mediated antigen retrieval with sodium citrate buffer (pH 6.0). The section was then incubated with the antibody at room temperature and detected using an HRP conjugated compact polymer system. DAB was used as the chromogen. The section was then counterstained with haematoxylin and mounted with DPX.
此处内容自动获取
此处内容自动获取
My Review
Ratings:

Comments: