菜单

Alpha-synuclein (Phospho-Y136) Antibody(UPA08907)

SizePrice
50ul598.00
100ul998.00
Contact us to order
Tel: 0550-3721098
antibody@universalbiol.com

Basic information
Catalog No.:UPA08907
Source:Rabbit
Size:50ul/100ul
Clonality:Polyclonal
Concentration:1mg/ml
Isotype:IgG
Purification:The antibody was purified by immunogen affinity chromatography.
Useful information
Applications:
WB (1:500 - 1:1000), IHC (1:50 - 1:100)
Reactivity:
Human, Mouse, Rat, Monkey, Pig
Specificity:
Recognizes endogenous levels of Alpha-synuclein protein only when phosphorylated at Y136.
Immunogen:
KLH-conjugated synthetic phosphopeptide corresponding to residues surrounding Y136 of human Alpha-synuclein protein. The exact sequence is proprietary.
Description:
Rabbit polyclonal antibody to Alpha-synuclein (Phospho-Y136)
Uniprot:
P37840
BiowMW:
Refer to Figures
Buffer:
Liquid in 0.42% Potassium phosphate, 0.87% Sodium chloride, pH 7.3, 30% glycerol, and 0.01% Thimerosal.
Storage:
Shipped at 4°C. Upon delivery aliquot and store at -20°C for one year. Avoid freeze/thaw cycles.
Note:
For research use only, not for use in diagnostic procedure.
Alternative Name:
SNCA; NACP; PARK1; Alpha-synuclein; Non-A beta component of AD amyloid; Non-A4 component of amyloid precursor; NACP
Data:
Western blot analysis of Alpha-synuclein (Phospho-Y136) expression in mouse brain (A), rat brain (B) whole cell lysates. (Predicted band size: 14 kD; Observed band size: 18 kD)
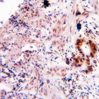
Immunohistochemical analysis of Alpha-synuclein (Phospho-Y136) staining in human colorectal cancer formalin fixed paraffin embedded tissue section. The section was pre-treated using heat mediated antigen retrieval with sodium citrate buffer (pH 6.0). The section was then incubated with the antibody at room temperature and detected using an HRP conjugated compact polymer system. DAB was used as the chromogen. The section was then counterstained with haematoxylin and mounted with DPX.
此处内容自动获取
此处内容自动获取
My Review
Ratings:

Comments: