菜单

APOBEC3F Antibody(UPA10229)

SizePrice
50ul598.00
100ul998.00
Contact us to order
Tel: 0550-3721098
antibody@universalbiol.com

Basic information
Catalog No.:UPA10229
Source:Rabbit
Size:50ul/100ul
Clonality:Polyclonal
Concentration:1mg/ml
Isotype:IgG
Purification:The antibody was purified by immunogen affinity chromatography.
Useful information
Applications:
WB (1:500 - 1:2000), IHC (1:50 - 1:200)
Reactivity:
Human, Mouse, Rat
Specificity:
Recognizes endogenous levels of APOBEC3F protein
Immunogen:
Recombinant fusion protein of human APOBEC3F. The exact sequence is proprietary.
Description:
Rabbit polyclonal antibody to APOBEC3F
Uniprot:
Q8IUX4
BiowMW:
Refer to Figures
Buffer:
Liquid in 0.42% Potassium phosphate, 0.87% Sodium chloride, pH 7.3, 30% glycerol, and 0.01% Thimerosal.
Storage:
Shipped at 4°C. Upon delivery aliquot and store at -20°C for one year. Avoid freeze/thaw cycles.
Note:
For research use only, not for use in diagnostic procedure.
Alternative Name:
APOBEC3F; DNA dC->dU-editing enzyme APOBEC-3F; Apolipoprotein B mRNA-editing enzyme catalytic polypeptide-like 3F; A3F
Data:
Western blot analysis of APOBEC3F expression in Hela (A), HepG2 (B) whole cell lysates. (Predicted band size: 9; 11; 45 kD; Observed band size: 45 kD)
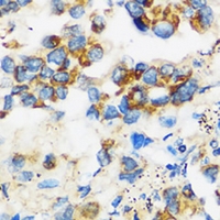
Immunohistochemical analysis of APOBEC3F staining in human lung cancer formalin fixed paraffin embedded tissue section. The section was pre-treated using heat mediated antigen retrieval with sodium citrate buffer (pH 6.0). The section was then incubated with the antibody at room temperature and detected using an HRP conjugated compact polymer system. DAB was used as the chromogen. The section was then counterstained with haematoxylin and mounted with DPX.
此处内容自动获取
此处内容自动获取
My Review
Ratings:

Comments: