菜单

CAP1 Antibody(UPA10321)

SizePrice
50ul598.00
100ul998.00
Contact us to order
Tel: 0550-3721098
antibody@universalbiol.com

Basic information
Catalog No.:UPA10321
Source:Rabbit
Size:50ul/100ul
Clonality:Polyclonal
Concentration:1mg/ml
Isotype:IgG
Purification:The antibody was purified by immunogen affinity chromatography.
Useful information
Applications:
WB (1:500 - 1:2000)
Reactivity:
Human, Mouse, Rat
Specificity:
Recognizes endogenous levels of CAP1 protein
Immunogen:
KLH-conjugated synthetic peptide of human CAP1. The exact sequence is proprietary.
Description:
Rabbit polyclonal antibody to CAP1
Uniprot:
Q01518
BiowMW:
Refer to Figures
Buffer:
Liquid in 0.42% Potassium phosphate, 0.87% Sodium chloride, pH 7.3, 30% glycerol, and 0.01% Thimerosal.
Storage:
Shipped at 4°C. Upon delivery aliquot and store at -20°C for one year. Avoid freeze/thaw cycles.
Note:
For research use only, not for use in diagnostic procedure.
Alternative Name:
CAP1; CAP; Adenylyl cyclase-associated protein 1; CAP 1
Data:
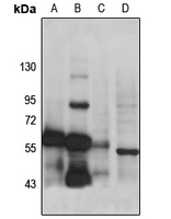
Western blot analysis of CAP1 expression in HEK293T (A), A431 (B), rat thymus (C), mouse thymus (D) whole cell lysates. (Predicted band size: 51 kD; Observed band size: 60 kD)
此处内容自动获取
此处内容自动获取
My Review
Ratings:

Comments: