菜单

C9orf156 Antibody(UPA13850)

SizePrice
50ul598.00
100ul998.00
Contact us to order
Tel: 0550-3721098
antibody@universalbiol.com

Basic information
Catalog No.:UPA13850
Source:Rabbit
Size:50ul/100ul
Clonality:Polyclonal
Concentration:1mg/ml
Isotype:IgG
Purification:The antibody was purified by immunogen affinity chromatography.
Useful information
Applications:
WB (1:500 - 1:1000), IHC (1:50 - 1:200)
Reactivity:
Human
Specificity:
Recognizes endogenous levels of C9orf156 protein.
Immunogen:
KLH-conjugated synthetic peptide encompassing a sequence within the C-terminal region of human C9orf156. The exact sequence is proprietary.
Description:
Rabbit polyclonal antibody to C9orf156
Uniprot:
Q9BU70
BiowMW:
Refer to Figures
Buffer:
Liquid in 0.42% Potassium phosphate, 0.87% Sodium chloride, pH 7.3, 30% glycerol, and 0.01% Thimerosal.
Storage:
Shipped at 4°C. Upon delivery aliquot and store at -20°C for one year. Avoid freeze/thaw cycles.
Note:
For research use only, not for use in diagnostic procedure.
Alternative Name:
C9orf156; NAP1; Nef-associated protein 1; Thioesterase NAP1
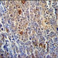
Data:
Western blot analysis of C9orf156 expression in Hela (A), CEM (B), T47D (C) whole cell lysates. (Predicted band size: 48 kD; Observed band size: 48 kD)
Immunohistochemical analysis of C9orf156 staining in human skin carcinoma formalin fixed paraffin embedded tissue section. The section was pre-treated using heat mediated antigen retrieval with sodium citrate buffer (pH 6.0). The section was then incubated with the antibody at room temperature and detected using an HRP conjugated compact polymer system. DAB was used as the chromogen. The section was then counterstained with haematoxylin and mounted with DPX.
此处内容自动获取
此处内容自动获取
My Review
Ratings:

Comments: