菜单

KCTD11 Antibody(UPA14742)

SizePrice
50ul598.00
100ul998.00
Contact us to order
Tel: 0550-3721098
antibody@universalbiol.com

Basic information
Catalog No.:UPA14742
Source:Rabbit
Size:50ul/100ul
Clonality:Polyclonal
Concentration:1mg/ml
Isotype:IgG
Purification:The antibody was purified by immunogen affinity chromatography.
Useful information
Applications:
WB (1:500 - 1:1000), IHC (1:50 - 1:200)
Reactivity:
Human, Mouse
Specificity:
Recognizes endogenous levels of KCTD11 protein.
Immunogen:
KLH-conjugated synthetic peptide encompassing a sequence within the N-terminal region of human KCTD11. The exact sequence is proprietary.
Description:
Rabbit polyclonal antibody to KCTD11
Uniprot:
Q693B1
BiowMW:
Refer to Figures
Buffer:
Liquid in 0.42% Potassium phosphate, 0.87% Sodium chloride, pH 7.3, 30% glycerol, and 0.01% Thimerosal.
Storage:
Shipped at 4°C. Upon delivery aliquot and store at -20°C for one year. Avoid freeze/thaw cycles.
Note:
For research use only, not for use in diagnostic procedure.
Alternative Name:
KCTD11; C17orf36; REN; BTB/POZ domain-containing protein KCTD11
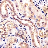
Data:
Western blot analysis of KCTD11 expression in human brain (A), human cerebellum (B), mouse cerebellum (C) whole cell lysates. (Predicted band size: 25 kD; Observed band size: 26 kD)
Immunohistochemical analysis of KCTD11 staining in human kidney formalin fixed paraffin embedded tissue section. The section was pre-treated using heat mediated antigen retrieval with sodium citrate buffer (pH 6.0). The section was then incubated with the antibody at room temperature and detected using an HRP conjugated compact polymer system. DAB was used as the chromogen. The section was then counterstained with haematoxylin and mounted with DPX.
此处内容自动获取
此处内容自动获取
My Review
Ratings:

Comments: